微创解决大问题 佛冈人医泌尿外科完成首例腹腔镜肾输尿管切除术
近日,在广东省人民医院(下称“省人医”)帮扶下,我院泌尿外科顺利完成了我院首例腹腔镜肾输尿管切除术,该手术是泌尿科最复杂的四级手术之一,切除范围包括一侧全部的肾脏、输尿管及部分膀胱。这次手术的成功体现了省人医专家及我院泌尿外科团队的高超医术,现在,佛冈患者无需长途跋涉,在家门口就能享受到省级专家的优质医疗服务,极大的方便了人民群众的就医需求。
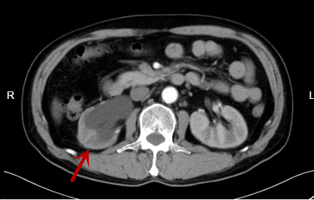
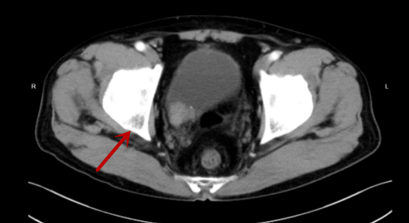
67岁的曾伯在外院体检时发现膀胱内有肿物,来我院门诊行CT检查提示右侧输尿管下段及膀胱右后壁占位,伴右肾大量积液。进一步膀胱镜检查可见膀胱右侧壁见肿物,大小约4*4cm,呈菜花状,活检结果提示尿路上皮癌,泌尿外科医生诊断考虑为输尿管恶性肿瘤合并侵犯膀胱。
CT检查提示患者右侧输尿管下段及膀胱右后壁占位
CT检查提示患者右肾积液
由于输尿管恶性肿瘤易转移的特性标准的治疗切除范围为患侧肾、输尿管全长切除加输尿管开口处膀胱袖状切除(半侧全尿路切除),而曾伯合并右肾大量积液及膀胱内较大的肿物,手术难度较大。省人医帮扶专家李腾博士、泌尿外科团队经过充分评估后建议实施腹腔镜肾输尿管切除术。
泌尿外科主治医师冯治平表示,与传统开放手术相比,腹腔镜手术,也就是俗称的“微创手术”,术中出血及术后感染等并发症的发生率较低,具有创伤小、恢复更快的优点。
术中,泌尿外科团队用腹腔镜设备完整切除了肿瘤及积水肾脏,而且出血仅约50毫升,无明显并发症,术后1月复查提示恢复良好,曾伯及家属对治疗效果非常满意。
健康科普
输尿管恶性肿瘤是泌尿系统比较少见的恶性肿瘤。输尿管癌来源于输尿管的尿路上皮,与肾盂癌合称上尿路尿路上皮癌,输尿管癌更倾向于累及老年人,尤其在50到80岁之间。其发病率的高峰年龄为60-65岁。间歇性、无痛性、全程肉眼血尿是输尿管癌最常见的症状,见于75%以上的患者。出血在输尿管内凝固可形成条状血块,部分患者可无明显症状。肾、输尿管全长切除加输尿管开口处膀胱袖状切除术为局限性输尿管癌的外科标准治疗。手术方法包括开放手术和腹腔镜手术,腹腔镜手术具有创伤小、恢复快的优点。术后常规行膀胱灌注治疗,必要时化疗。


用户登录