3个1厘米小孔切除肿瘤?包的!佛冈人医独立完成腹腔镜下肾癌根治性切除术
近日,我院泌尿外科团队独立完成了腹腔镜下肾癌根治性切除术。该手术的圆满成功,标志着我院在泌尿系统肿瘤的微创外科治疗领域取得了技术上的突破,迈入以“创伤小、恢复快、疗效好”为标志的微创时代,为本地及周边地区的肾癌患者带来了全新的、更高水平的治疗选择。
挑战:精准“排雷”,毫厘之间显功力
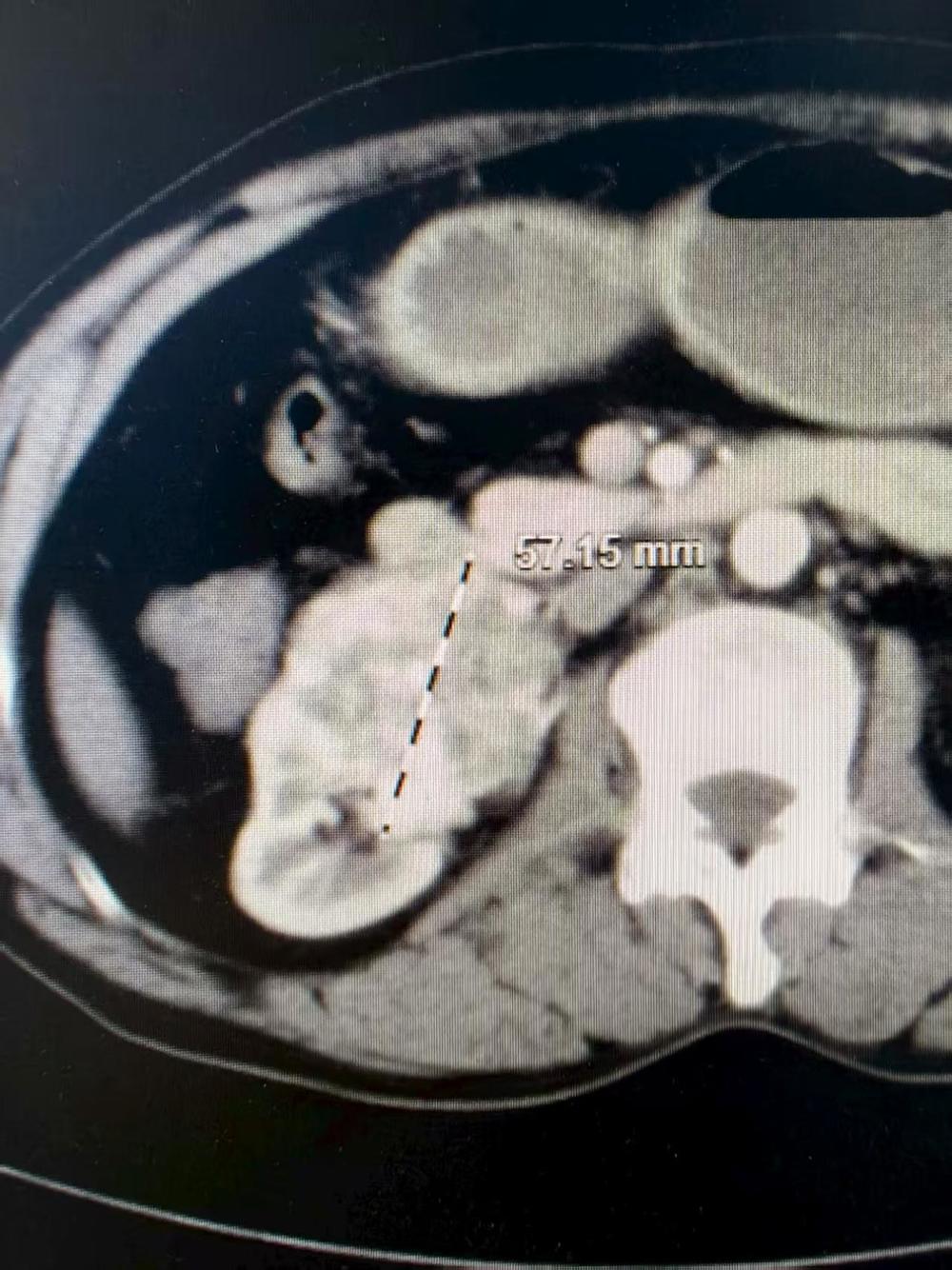
患者黄大叔因为反复的右腹部隐痛2年,今年8月份来我院检查发现右肾中下极有一个直径超过5.5厘米的肿瘤,初步诊断为肾癌。如果使用传统的开放式手术,需要切开长达15-20厘米的切口,创伤大、出血多、术后恢复时间长。

CT图片
为确保黄大叔获得最佳治疗效果,泌尿外科团队进行了严谨的手术前讨论之后,决定为其实施更为先进的腹腔镜下肾癌根治性切除术。这项手术被誉为泌尿外科领域的“高精尖”技术,要求主刀医生需具备高超的腹腔镜操作技巧,在狭小的空间内完成分离、切割、止血等一系列精细动作,如同在“钥匙孔”里完成一场复杂的“排雷”任务,难度极大。
泌尿外科副主任医师冯治平表示,微创手术的核心优势就是——以更小的创伤,换取同样甚至更好的根治效果。在腹腔镜视野下处理肾动静脉这组“生命线”时,可谓是在毫厘之间决胜负,是对医生技术、耐心和心理素质的极大考验。很高兴,我们团队交出了一份优异的答卷。
突破:微创巨变,三个小孔解除“危机”
手术当日,在麻醉科及手术室护理团队的紧密配合下,冯治平副主任医师在黄大叔腰部选取了3个不到1厘米的小孔作为操作通道,通过腹腔镜精准地游离肾脏、分离输尿管、处理复杂的肾动静脉血管束,最终将肿瘤及病肾完整切除,经小切口顺利取出。整个手术过程出血极少,周围组织损伤降至最低。


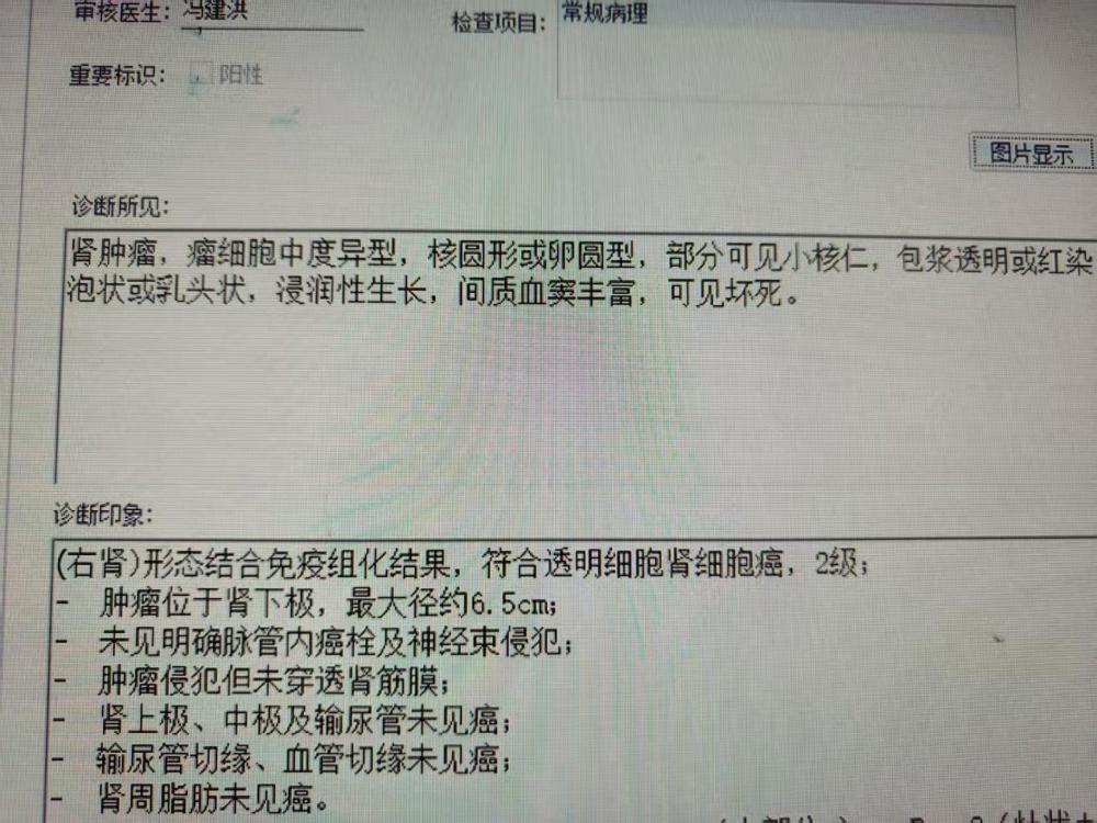
病理结果显示手术切缘未见肿瘤细胞浸润
得益于微创手术的巨大优势,黄大叔术后第一天即可下床活动,正常饮食,术后疼痛感轻微。目前黄大叔恢复情况良好,已顺利出院,并对泌尿外科团队表示衷心赞扬。
意义:里程碑式跨越,造福广大患者
近年来,在广东省人民医院的帮扶下,从“输血”到“造血”,泌尿外科团队不断汲取经验,能独立完成多个高精尖微创手术,是泌尿外科发展史上的一个重要里程碑。彰显了我院在高难度微创手术领域的综合实力。意味着本区域广大患者今后无需辗转奔波于大城市,在家门口就能享受到先进的微创手术治疗,大大减轻了其身心的痛苦和经济负担。
泌尿外科主任刘伟光表示,微创腹腔镜下肾癌切除手术的成功只是一个开始。泌尿外科将以此为契机,不断攀登技术高峰,持续提升医疗服务能力,用更先进的技术和更优质的服务,守护每一位患者的生命健康。


用户登录